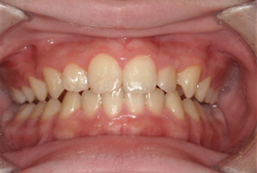
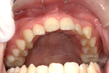
子どもの場合、美しい歯並び、正しい噛み合わせになるように早い時期から成長発育を見守ることが大切です。
あごの成長が途中の子どものころから、矯正を始めると、顎の成長をうまくコントロールすることが可能になり、キレイに仕上がる、抜歯する可能性が低くなるなどのメリットがあります。逆にあごが成長する子供の頃に、悪い歯並びやお口に関する癖を放っておくと、あごの発育が正常に行われず、顔の形などに影響が出ることがあります。上下のあごの位置がずれることによって起こる受け口などの症状は、乳歯のはえている早い時期からの治療が効果的です。
早い時期に矯正を始めると、あごの成長を適切に誘導しながら治療を進めていくことができるので、より永久歯が生えるときに正しい噛み合わせにできる可能性が高くなります。
